乱抗歯
乱杭歯(らんぐいば)とは、歯と歯が重なり合うようにデコボコに生えている状態を指し、専門的には「叢生(そうせい)」と呼ばれ、八重歯もその一種です。
乱杭歯は、日本人にもっとも多くみられる歯列不正です。歯と歯が重なり合っていることからブラッシングがしにくい状態で、そのため虫歯や歯周病になりやすく、さらに上下の歯ならびがデコボコになっていると、しっかり咬み合わせができないことから、歯や顎にかける負担が大きくなり、健康にも精神的にもいろいろな悪影響を及ぼす可能性が高くなります。
乱杭歯は、日本人にもっとも多くみられる歯列不正です。歯と歯が重なり合っていることからブラッシングがしにくい状態で、そのため虫歯や歯周病になりやすく、さらに上下の歯ならびがデコボコになっていると、しっかり咬み合わせができないことから、歯や顎にかける負担が大きくなり、健康にも精神的にもいろいろな悪影響を及ぼす可能性が高くなります。
乱抗歯治療の症例
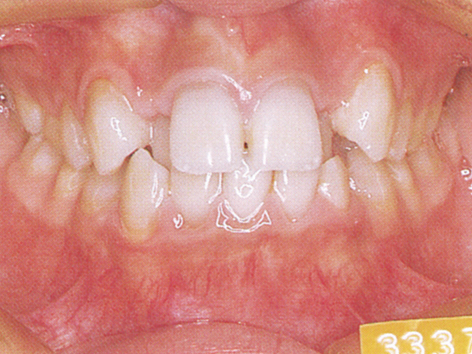
【主訴】上の前歯のデコボコ


| 治療前後の比較 |
| 食生活の変化によって現代人はやわらかい物を食べる機会が増えたことから、顎の発達が未熟になりやすく、そのため歯が並ぶスペースが足りなくなり、重なり合って歯が生えてきてしまうといわれています。乱杭歯の場合、虫歯・歯周病になりやすい、食べ物がうまく咬めない以外にも、顎にかかる負担が大きいため、顎関節症になってしまう可能性が高いです。 乱杭歯の治療方法は、歯の生え方など状態によって異なり、抜歯が必要になる場合もありますが、気になる部分だけを整える部分矯正やマウスピース矯正でも改善させることが可能です。 |

