開咬
出っ歯やうけ口のように、よく耳にする言葉ではありませんが、開咬も悪い歯ならび(不正咬合)の一種で、歯を咬み合わせたときに上下の前歯に隙間が開いてしまう症状を指します。
多くは前歯部開咬と呼ばれる、咬んだ際に奥歯だけしか咬み合わないで前歯が開いてしまう状態を指しますが、前歯だけが咬み合って、奥歯が開いてしまう場合も開咬と診断されます。
不正咬合の中でも、発生率はおよそ4%と数字的にはもっとも低いですが、開咬だと奥歯もしくは前歯でしか食べ物を噛み切れないことから、顎の骨や筋肉を傷めやすかったり、胃や腸に負担をかけやすくなって、健康面にも悪影響を及ぼす可能性を高めてしまいます。他にも、舌が出て発音がはっきりできなかったり、話す際に前歯の間から舌がみえて口元がだらしなくみえてしまったり、口が開いたままになることからドライマウスになるなどの様々なリスクがあります。
多くは前歯部開咬と呼ばれる、咬んだ際に奥歯だけしか咬み合わないで前歯が開いてしまう状態を指しますが、前歯だけが咬み合って、奥歯が開いてしまう場合も開咬と診断されます。
不正咬合の中でも、発生率はおよそ4%と数字的にはもっとも低いですが、開咬だと奥歯もしくは前歯でしか食べ物を噛み切れないことから、顎の骨や筋肉を傷めやすかったり、胃や腸に負担をかけやすくなって、健康面にも悪影響を及ぼす可能性を高めてしまいます。他にも、舌が出て発音がはっきりできなかったり、話す際に前歯の間から舌がみえて口元がだらしなくみえてしまったり、口が開いたままになることからドライマウスになるなどの様々なリスクがあります。
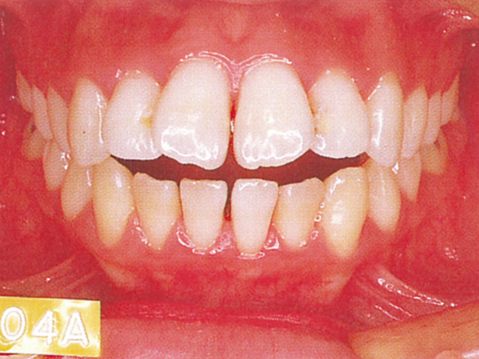
開咬治療の症例
【主訴】前歯で物が噛めない


| 治療前後の比較 |
| 開咬の原因としては、遺伝的なものや、子どものときの指しゃぶりや、舌を前歯にあてるなどの舌癖によるものも多いです。開咬のために口が開いている状態が長くなると、どうしても口の中にウィルスや細菌が入りやすくなり、虫歯や歯周病などになる可能性を高めてしまうなど多くのリスクを伴うため、できるだけ早めの治療が推奨されます。小さな子どもの場合は、早期発見で治療を開始すれば治療にかかる期間も短くでき、抜歯せずに治療できる可能性も高められます。開咬の治療にはいくつかの方法がありますが、開咬の大きな要因となる舌癖は、自分の意思で動かすことができる筋肉であるため、患者さんや保護者様の協力があれば、治療効果はめざましくなります。 |